Accueil

Faire Connaissance

Publications
Articles et ouvrages

Les traitements
Depistage et prévention
Analyse et diagnostique esthétique
Le Champ Opératoire
Endodontie
Parodontie
Soins Esthétiques
Prothèses
Les implants
Agénésies

Cas cliniques
Couronnes tout céramique
Blanchiment
Facettes Céramique
Traumatismes

Localisation

Nous contacter

  • Sourire mutilé
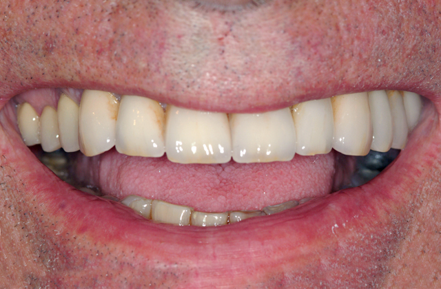
  • Sourire retrouvé
  • implants avant la pose des prothèses
  • Prothèses terminées

La prothèse sur implants

Grâce aux implants (racines artificielles en titane), nous pouvons reconstruire un sourire naturel, là où il n'était possible que de réaliser un appareillage amovible.




Partager sur Facebook Partager sur VIADEO Partage sur LinkedIn Partager sur Myspace Partager sur Twitter Partager sur Delicious Mettre dans ses favoris Envoyer par email Imprimer cette page


Powered by Blog66.com v1.313 - Srv1 #73
Page générée en 0,205 secondes
Firedeal.com Design