Accueil

Faire Connaissance

Publications
Articles et ouvrages

Les traitements
Depistage et prévention
Analyse et diagnostique esthétique
Le Champ Opératoire
Endodontie
Parodontie
Soins Esthétiques
Prothèses
Les implants
Agénésies

Cas cliniques
Couronnes tout céramique
Blanchiment
Facettes Céramique
Traumatismes

Localisation

Nous contacter

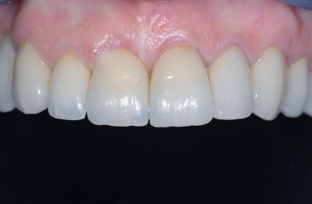
  • Après
  • Sourire initial
  • Sourire après

Remplacement d'anciennes prothèses par des couronnes de nouvelle génération

Le remplacement de couronnes en céramiques sur armature de métal par des couronnes intégralement en céramique aux formes plus harmonieuses, associé à des greffes de gencive à permis le rajeunissement de ce sourire.




Partager sur Facebook Partager sur VIADEO Partage sur LinkedIn Partager sur Myspace Partager sur Twitter Partager sur Delicious Mettre dans ses favoris Envoyer par email Imprimer cette page


Powered by Blog66.com v1.313 - Srv1 #73
Page générée en 0,208 secondes
Firedeal.com Design